Intervento salvavita

Intervento in utero per una cisti polmonare gigante

Il piccolo Alessandro, assistito dall’équipe di Chirurgia Fetale dell’Ospedale Pediatrico Bambino Gesù, ha beneficiato di interventi coordinati tra vari specialisti e strutture sanitarie.

Intervento in utero per una cisti polmonare gigante

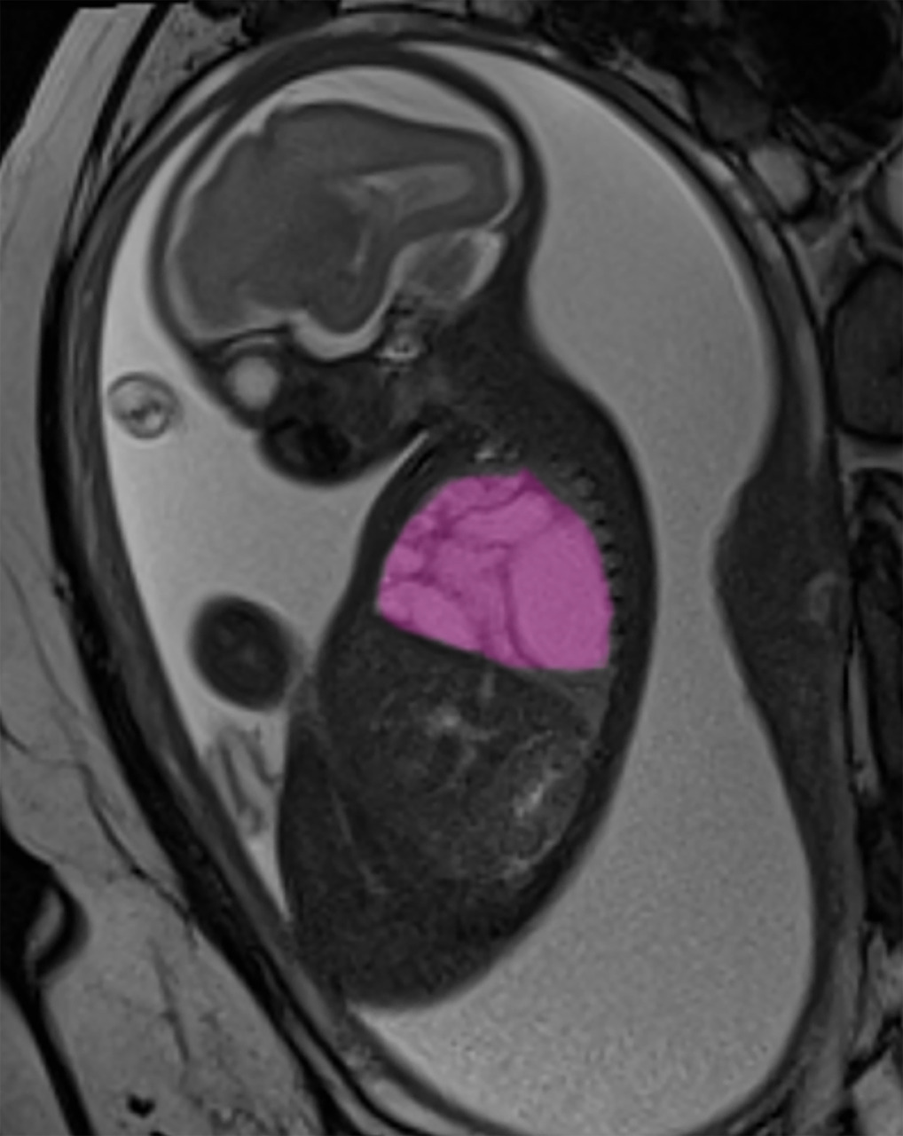
Una cisti polmonare di dimensioni quasi equivalenti all’intero torace metteva in pericolo la vita del piccolo Alessandro (nome di fantasia) già prima della nascita.

Il caso del piccolo è stato gestito dall’équipe di Chirurgia Fetale dell’Ospedale Pediatrico Bambino Gesù, che ha messo in campo una serie di interventi coordinati. Alla 24a settimana di gravidanza, il team ha eseguito un intervento in utero per inserire uno shunt pleuro-amniotico, un sottile drenaggio utile a ridurre la pressione sul cuore del feto e a ripristinare la normale funzionalità cardiaca.

Il parto cesareo programmato si è svolto alla 35a settimana e, subito dopo la nascita, Alessandro è stato sottoposto a una lobectomia toracoscopica per rimuovere la parte malata del polmone. Questa tecnica mini-invasiva, che comporta solo piccole incisioni, ha permesso una rapida ripresa del neonato senza complicazioni.

Alessandro sta attualmente bene e, nonostante abbia un solo polmone sano, i medici hanno confermato che potrà vivere una vita normale, inclusa la possibilità di praticare sport. Questo caso dimostra come la chirurgia fetale, unita alla collaborazione tra specialisti di diversi ospedali e centri di eccellenza, possa garantire il benessere di madre e figlio, affrontando gravi patologie fin dalle prime fasi della gravidanza.

Chirurgia Fetale all’Ospedale Bambino Gesù

Negli ultimi quattro anni, l’Ospedale Pediatrico Bambino Gesù ha effettuato circa 180 interventi fetali, affrontando malformazioni congenite complesse come quella di Alessandro, oltre a patologie come le ernie diaframmatiche e le trasfusioni feto-fetali. Ogni anno, l’ospedale gestisce tra i 20 e i 25 casi di malformazioni polmonari congenite, un dato significativo che evidenzia l’importanza di un approccio multidisciplinare nel trattamento delle patologie fetali.

Un Team di Esperti al Servizio della Salute

Il caso di Alessandro ha visto il coinvolgimento di diverse équipe di specialisti, tra cui esperti di ostetricia, ginecologia, chirurgia neonatale e fetale, neonatologia, imaging avanzato e anestesia, provenienti sia dall’Ospedale Bambino Gesù che dall’Ospedale San Pietro Fatebenefratelli. Questa collaborazione tra diversi ospedali e reparti ha permesso una gestione tempestiva ed efficace della situazione, evidenziando l’importanza di un sistema sanitario integrato e altamente specializzato.

La storia di Alessandro rappresenta un esempio di eccellenza medica e di come tecnologia e competenza possano fare la differenza nel trattamento di malformazioni congenite, offrendo una nuova speranza a chi nasce con patologie complesse.